
Η Ορθοδοντική για παιδιά και εφήβους είναι ο κλάδος της Οδοντιατρικής, ο οποίος ασχολείται με τη διάγνωση και αντιμετώπιση των διαφόρων παρατυπιών που υπάρχουν στα δόντια και τις γνάθους παιδιών και εφήβων. Πέρα από το να διορθωθούν οι παρατυπίες αυτές, οι ορθοδοντικοί, μέσα από τους διάφορους μηχανισμούς που έχουν στη διάθεσή τους, στοχεύουν και στο να προλάβουν τα διάφορα προβλήματα των δοντιών και της άνω και κάτω γνάθου, τα οποία ενδέχεται να δημιουργηθούν στο μέλλον.
Η Παιδική Ορθοδοντική, όπως ήδη αναφέρθηκε, μπορεί να έχει προληπτικό ή κατασταλτικό χαρακτήρα και επιλέγεται για την αντιμετώπιση ή διόρθωση:
Η ορθοδοντική θεραπεία σε παιδιά και εφήβους, είτε προληπτική είτε κατασταλτική, παρουσιάζει τα εξής πλεονεκτήματα:
Οι ορθοδοντικοί μηχανισμοί για παιδιά και εφήβους διακρίνονται σε κινητούς και ακίνητους και επιλέγονται από τον ορθοδοντικό βάσει του σταδίου της θεραπείας και τις συγκεκριμένες ανάγκες του ασθενή. Παρά το γεγονός ότι, κατά το πρώτο χρονικό διάστημα της εφαρμογής τους, το παιδί μπορεί να αισθάνεται κάποια απολύτως φυσιολογική ενόχληση, οι σύγχρονοι ορθοδοντικοί μηχανισμοί έχουν σχεδιαστεί με τέτοιον τρόπο ώστε αυτή να μειώνεται στο ελάχιστο και το παιδί να νιώθει άνετα φορώντας τους.
Οι επικρατέστεροι ακίνητοι οδοντικοί μηχανισμοί είναι τα παραδοσιακά σιδεράκια, τα γλωσσικά σιδεράκια και τα διαφανή σιδεράκια.

Τα παραδοσιακά μεταλλικά σιδεράκια είναι ακίνητα και συγκολλούνται εξωτερικά στα δόντια της άνω και κάτω γνάθου του παιδιού, με στόχο τα σύρματά τους να μετακινήσουν τα δόντια και να τα ευθυγραμμίσουν. Αποτελούν σταθερά μια εξαιρετικά αποτελεσματική επιλογή ορθοδοντικής θεραπείας, αλλά δεν παρέχουν υψηλό αισθητικό αποτέλεσμα σε σύγκριση με άλλους μηχανισμούς.
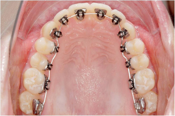
Τα γλωσσικά σιδεράκια ονομάζονται και εσωτερικά, καθώς δεν συγκολλούνται εξωτερικά στα δόντια της άνω και κάτω γνάθου αλλά στην εσωτερική επιφάνειά τους, επιτυγχάνοντας την ευθυγράμμιση που χρειάζεται χωρίς να φαίνονται. Το γεγονός αυτό, καθιστά τα εσωτερικά σιδεράκια μια λύση ορθοδοντικής θεραπείας η οποία επιλέγεται όλο και πιο συχνά πια.


Τα διαφανή σιδεράκια, τα οποία λέγονται και κεραμικά λόγω του υλικού κατασκευής τους, είναι ακίνητα και τοποθετούνται μεν στην εξωτερική επιφάνεια των δοντιών, αλλά σε αντίθεση με τα μεταλλικά εξασφαλίζουν καλύτερο αισθητικό αποτέλεσμα. Αυτό είναι και το βασικό πλεονέκτημά τους, το οποίο τα κάνει όλο και πιο δημοφιλή σε σχέση με τα κλασικά μεταλλικά σιδεράκια.
Η ορθοδοντική θεραπεία για παιδιά και εφήβους είναι πάντα εξατομικευμένη, καθώς κάθε περίπτωση ασθενή είναι μοναδική. Συνεπώς, η ακριβής διάρκεια της θεραπείας εξαρτάται ανά παιδί ή έφηβο, αλλά συνήθως κυμαίνεται μεταξύ 18-36 μηνών για τα παιδιά και 12-24 μήνες για τους εφήβους.
Το κόστος μιας ορθοδοντικής θεραπείας δεν είναι κοινό για όλους τους ασθενείς. Ακόμα και αν το πρόβλημα που καλούμαστε να αντιμετωπίσουμε είναι ίδιο, οι ανάγκες κάθε παιδιού ή εφήβου είναι διαφορετικές. Συνεπώς, η διαμόρφωση του τελικού κόστους θα προκύψει από τις επιμέρους λεπτομέρειες της θεραπείας, όπως είναι ο μηχανισμός που θα επιλεγεί και το χρόνος που θα χρειαστεί μέχρι να ολοκληρωθεί η διαδικασία.
Ο οδοντίατρος – χειρουργός, D.D.S. Μιχαήλ Αγγελάκης, και η ομάδα της Marousi Dental Clinic στην Αθήνα βρίσκονται στη διάθεσή σας για να σας ενημερώσουν πλήρως αναφορικά με την Ορθοδοντική. Πραγματοποιήστε την επικοινωνία σας μέσω τηλεφώνου ή συμπληρώνοντας τη φόρμα επικοινωνίας και κλείστε το ραντεβού σας στην κλινική μας στο Μαρούσι για την απαραίτητη διάγνωση και τον σχεδιασμό ενός εξατομικευμένου θεραπευτικού πλάνου.

Συμπληρώστε τα στοιχεία σας και η ομάδα μας θα επικοινωνήσει μαζί σας το συντομότερο δυνατόν.